For those of you that don’t read French, it means “I have a toothache.” Literally translated, “I have sickness in the teeth.” Last year in our French lessons there was a story we listened to about a little girl with a toothache who went everywhere around town, crying out, “J’ai mal aux dents! J’ai mal aux dents!” Finally, after the butcher offered her a sausage and the florist offered her a rose, she found the dentist who made everything all better. Well, last Friday I met with the surgeon whom I am hoping can make everything all better for me too. I mentioned in an earlier blog post that there was an infection under one of my bottom wisdom teeth. Turns out I have to have both of them extracted. The surgery is scheduled for this coming Friday. I am not looking forward to it, but I am looking forward to putting this all behind me. Thankfully the antibiotics have taken care of the pain of the infection, but it’s bound to come back if I do nothing about it.
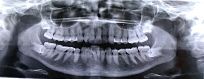
Here’s an awesome shot of those transgressing teeth. I told the kids we should print it out to use as a halloween decoration. (JUST JOKING!)
So Friday morning at 10:30 PJ will escort me to the oral surgeon’s office where I will be put under and wake up a couple hours later with a bruised and swollen jaw. I know it’s a routine procedure, but I’ve never been given any kind of anesthesia before so I think that’s actually what I am most nervous about. I don’t like any sort of fuzzy feeling in my brain. I am strong-willed and don’t like the thought of anything taking control of me or lowering my inhibitions. Oh, dear. What if I say something really embarrassing like Basil Fawlty who wakes up after his accident saying to the nurse, “My, you’re ugly!” To which she promptly replies, “I’ll get the doctor.” Only to have him say, “You don’t need a doctor, dear. You need a plastic surgeon!” I just can’t get that scene from Fawlty Towers out of my mind.
On a more serious note, the roots of these two teeth extend back around the nerve on either side of my jaw that controls feeling on my chin and lips. There is the possibility of damage, but apparently it’s just a feeling nerve, not related to motion in any way. I did pay the extra for a CT scan last week though so the surgeon could get a good look at how the roots are interacting with the nerves and can come up with a plan of attack before he cuts through my gum and bone.
The papers they sent me home with are quite humorous to read. I am literally instructed to do these excercises where I insert four fingers into my mouth ten times, EVERY WAKING HOUR until the surgery! Seriously?! I feel like a loon doing that as I’m washing dishes, teaching the kids, etc.
In my attempts to stay positive and not give in to worry or anxiety, I thought I’d pen a few thoughts on what I have to be thankful for in all of this:
- Although this procedure would have been a breeze (relatively speaking) twenty years ago, it’s still better to have this done at 37 than it would be at 47. You know, the surgeon told me he actually saw a 95 year old lady last week who was having the same issues I am. That poor woman! The risks for her would be nothing minor.
- PJ keeps reminding me that we can be thankful this is even treatable. A hundred years ago people died of toothaches. Wow! That puts things into perspective!
- I’m so thankful this didn’t happen closer to our fall vacation that we have been planning and saving for for over two years! We are about a month away from embarking on a cruise to Bermuda with the family. I should be back to normal long before then!
- I’m thankful for my Vitamix which should get good use over the next couple of weeks, making soups and smoothies.
- I’m thankful for the flexibility in our lifestyle and for the support of family and friends that will aid in any down time I need after the surgery.
So until Friday, I’ll keep counting my blessings and trying to be brave!
