We are in the thick of week one of this, our second year of homeschooling. Welcome to the chaos as we transition from summer lazing to solidifying new routines and incorporating a third pupil! Here are a few highlights (that word is a debatable choice!) from this week…
~ I ~
To celebrate “back to school” we took the kids on a day trip to a zoo about two hours from where we live. They LOVED it! We heard lots of comments on the way home that it had been the BEST day ever! That makes a mom and dad feel good. We’ve been to bigger zoos in bigger cities, but this little zoo completely blew my expectations. We even had time to do some shopping at Costco (a rare treat for us) and went out to eat at a place called Jungle Jim’s (in keeping with our animal theme for the day). That’s where we picked up these cute little alligators. 🙂
Even the drive home was spectacular as we drove through a terrific thunder and lightening storm, Little Mister giggling each time his sisters oooohed and aaaaahed over the bright flashes all around us.
~ II ~
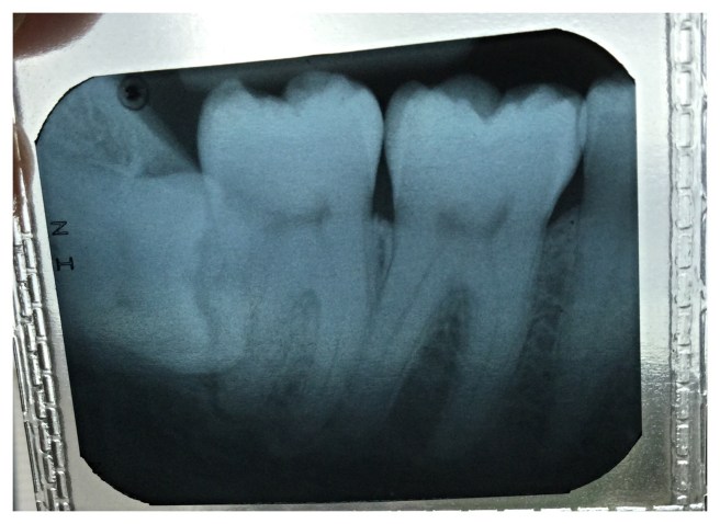
This has been a week of dental appointments. I am currently on two different antibiotics for a severe toothache that started last Wednesday. Apparently I have an infection under a wisdom tooth that never poked through. The offending bacteria somehow managed to wiggle its way out of reach of my brush and floss, and now it looks like the tooth will have to be extracted. My wisdom teeth have never caused me grief before so I’m a bit surprised that I have to deal with this at age 37. It would have been a much easier procedure in my teens…before those roots were fully formed. Not to mention this tooth is completely perpendicular to my molars back there. Look at that sucker! (It’s on the far left, under the gum, lying on its side.)
For now, I’m just trying to focus on being thankful I live in a day and age that pain like this can be treated with ibuprofen. And as much as I hate to take antibiotics, I am giving thanks for those as well, that they can target this infection when nothing else can!
We also had a parents’ consult with C-Bear’s orthodontist this morning who laid out his plan for treating her overcrowding and misshapen jaw issues. Poor little thing. She has a long road ahead of her to reshape her jaw and create room for all her adult teeth. Not to mention that front tooth she broke a couple of years ago. I guess injuries like that can come back to haunt people in later years, and that front tooth could be at risk as she gets older. Again, I’m thanking God for professionals with such knowledge and expertise!
~ III ~
A word about our school routine…I knew it would be difficult to transition back to a fall schedule after taking so many weeks off over the summer. But, man, oh, man, it has been a challenging few days. Mind you, we’ve had some late nights and some early morning appointments this week that kinda wreak havoc with maintaining consistency, but I am in need of some major creativity and wisdom as I navigate this year. So far our school time “soundtrack” has been a complaining toddler who cries whenever he’s not the centre of attention. My kindergartener is demanding the biggest slice of my time…even though her work takes the least amount of time in reality. I’m really wishing I had an extra set of hands…and maybe eyes and ears and feet too. In fact, could I just clone myself???
On the up side, I have children who are eager to learn and love their lessons. I was a bit worried I had tried to fit too much into our schedule. Last year we finished school by noon each day, and I didn’t want that to change this year. I have been pleasantly surprised by how we’ve been able to move through our work in good time, without feeling rushed or pressured for time. So, that is another blessing to count. And I’m sure we will speed up a bit when everyone gets used to what comes when.
~ IV ~
The girls were in need of new winter sheets for their beds, and we found these at Costo for a good price. Boo has dubbed them our “Christina Rosetti” sheets…
They memorized Clouds last year…
White sheep, white sheep,
On a blue hill,
When the wind stops
You all stand still
When the wind blows
You walk away slow.
White sheep, white sheep,
Where do you go?
Linking up today at…


A trip to the zoo sounds like a fun way to begin the school year. I think we just slid into this year and didn’t do anything special.
LikeLike
It was s fun way to start off the year. I will admit thought that we did that day’s “work” ahead of time, the week before, but spread it out over about 3 days. So it was a nice way to ease back into the routine of school work!
LikeLike